Which congenital anomaly is characterized by the failure of the dorsal and ventral pancreatic buds to fuse?
Answer : D
Pancreas divisum occurs when the dorsal and ventral pancreatic ducts fail to fuse during embryologic development. This results in most pancreatic secretions draining through the minor papilla via the dorsal duct (duct of Santorini).
According to Rumack's Diagnostic Ultrasound:
''In pancreas divisum, the dorsal and ventral pancreatic ducts fail to fuse, resulting in separate drainage systems.''
Rumack CM, Wilson SR, Charboneau JW, Levine D. Diagnostic Ultrasound. 5th ed. Elsevier, 2017.
Moore KL, Clinically Oriented Anatomy. 8th ed. Wolters Kluwer, 2018.
---
Which adjustment would most likely improve visualization of a small superficial tubular structure such as a peripheral artery?
Answer : C
Reducing slice (section) width improves spatial resolution, particularly elevational resolution, which enhances visualization of small, superficial structures. Lower slice width reduces off-axis beam artifacts and blurring. Wavelength depends on transducer frequency, not adjustable directly during scanning.
According to Zwiebel's Introduction to Vascular Ultrasound:
''Reduction in slice thickness improves imaging of small superficial structures by minimizing volume averaging and improving elevational resolution.''
Zwiebel WJ, Pellerito JS. Introduction to Vascular Ultrasound. 6th ed. Elsevier, 2019.
AIUM Practice Parameter for Vascular Ultrasound, 2021.
---
Which neoplasm is a benign tumor of the spleen?
Answer : D
Littoral cell angioma is a rare, benign vascular tumor of the spleen, arising from the littoral cells lining the splenic sinusoids. In contrast, lymphoma, metastasis, and angiosarcoma are malignant splenic neoplasms.
According to WHO Classification and Rumack's Diagnostic Ultrasound:
''Littoral cell angioma is a rare benign vascular neoplasm of the spleen with characteristic imaging findings.''
Rumack CM, Wilson SR, Charboneau JW, Levine D. Diagnostic Ultrasound. 5th ed. Elsevier, 2017.
WHO Classification of Tumours of the Digestive System, 5th ed., IARC, 2019.
---
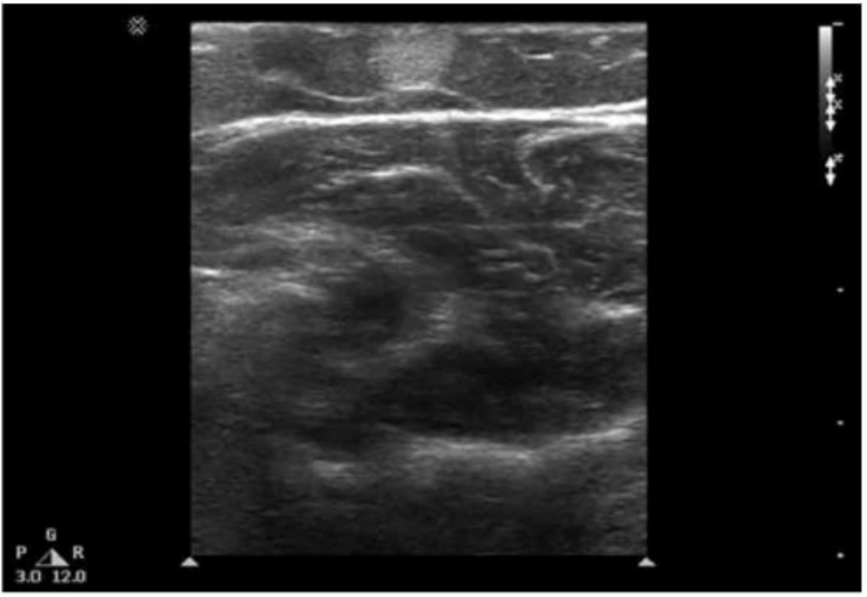
Which condition is most consistent with the sonographic appearance in this image of the abdominal wall?

Answer : A
The ultrasound image demonstrates a well-defined, ovoid, hypoechoic to isoechoic mass within the subcutaneous tissue of the abdominal wall. The lesion appears compressible and shows linear striations parallel to the skin surface --- a classic appearance of a lipoma.
Lipomas are the most common benign soft tissue tumors and frequently arise in the subcutaneous tissue. They are composed of mature adipose tissue and are typically asymptomatic unless large or compressing adjacent structures.
Sonographic features of a lipoma:
Isoechoic to mildly hyperechoic or hypoechoic relative to subcutaneous fat
Oval or elliptical in shape with well-defined margins
Internal linear striations or ''feathered'' echotexture
Compressible and non-vascular on Doppler imaging
Located in subcutaneous fat plane parallel to the skin surface
Differentiation from other options:
B . Fibroma: Typically appears as a homogeneous, hypoechoic mass but is far less common in the abdominal wall.
C . Desmoid: Appears as an ill-defined or infiltrative mass within deeper soft tissues; more heterogeneous and may distort surrounding tissue planes.
D . Metastasis: Often more irregular, heterogeneous, and may show increased vascularity or invasion into adjacent structures.
Rumack CM, Wilson SR, Charboneau JW, Levine D. Diagnostic Ultrasound. 5th Edition. Elsevier, 2018. Chapter: Musculoskeletal and Soft Tissue Ultrasound, pp. 1448--1450.
American Institute of Ultrasound in Medicine (AIUM) Practice Parameter for the Performance of a Diagnostic Ultrasound Examination of Soft Tissue Structures, 2020.
Radiopaedia.org. Lipoma (ultrasound): https://radiopaedia.org/articles/lipoma-ultrasound
Which structure is indicated by the arrow in this image?

Answer : D
The structure indicated by the arrow in the ultrasound image is the adrenal gland. On ultrasound, the adrenal gland in neonates and infants is relatively large and has a distinctive ''Y'' or ''V'' shape in the transverse view. It is located superior and slightly medial to the upper pole of the kidney.
In this image, the arrow is pointing to a hypoechoic, curved structure with a thin echogenic central stripe, representing the fetal adrenal gland. This echogenic stripe corresponds to the adrenal medulla, while the surrounding hypoechoic area represents the cortex.
Differential features:
Kidney: While the kidney is visualized posterior to the adrenal gland and shows a reniform shape with a central echogenic sinus and peripheral cortex, it is not the structure being directly pointed to by the arrow.
Bowel loop: Bowel has variable echogenicity with peristalsis and shadowing from air. It does not have the consistent morphology or location seen in the image.
Diaphragm: Appears as a thin, hyperechoic linear structure separating the thoracic cavity from the abdomen. It is seen more superiorly than the indicated structure and lacks the ''Y'' or ''V'' adrenal configuration.
Key Anatomical Landmarks:
The adrenal glands are located in the retroperitoneum, superior to the kidneys, and appear prominent on ultrasound in neonates.
In transverse view, the right adrenal gland is anterior to the crus of the diaphragm and posterior to the inferior vena cava (IVC).
Rumack CM, Wilson SR, Charboneau JW, Levine D. Diagnostic Ultrasound. 5th Edition. Elsevier, 2018. Chapter: Adrenal Glands and Retroperitoneum, pp. 291--295.
American Institute of Ultrasound in Medicine (AIUM) Practice Parameter for the Performance of an Ultrasound Examination of the Abdomen and/or Retroperitoneum. 2020.
Which lymph node shape is concerning for malignancy in the post-thyroidectomy neck?
Answer : D
Malignant lymph nodes are often round in shape (short axis/long axis ratio approaches 1), while benign lymph nodes are typically oval (short axis/long axis ratio < 0.5). Rounded shape in post-thyroidectomy patients raises suspicion for metastatic disease.
According to AIUM and ACR Thyroid Imaging Guidelines:
''A rounded lymph node shape is suspicious for malignancy, especially in patients with thyroid cancer.''
AIUM Practice Parameter for Thyroid and Neck Ultrasound, 2020.
ACR Thyroid Imaging Reporting and Data System (TI-RADS), 2017.
---
Which of the following would optimize visualization of a bladder mass?
Answer : D
A full bladder provides an acoustic window that displaces bowel gas and distends the bladder walls, allowing optimal visualization of any bladder masses or lesions. An empty bladder may collapse, obscuring masses.
According to Rumack's Diagnostic Ultrasound:
''Bladder evaluation should be performed with the bladder optimally distended to visualize its walls and any intraluminal masses.''
Rumack CM, Wilson SR, Charboneau JW, Levine D. Diagnostic Ultrasound. 5th ed. Elsevier, 2017.
AIUM Practice Parameter for Bladder Ultrasound, 2020.
---